[½Å°æ] »ó¹ÚºÎ¿¡¼­ Àü°ñ°£½Å°æ ´Ù¹ß ºñƲ¸²¿¡ ÀÇÇÑ Àü°ñ°£½Å°æ º´Áõ( anterior interosseous nerve neuropathy due to fascicular
ÀÛ¼ºÀÚ : ÃÖÀçÀÍ(jic121@hanmail.net) ÀÛ¼ºÀÏ : 2023-01-22 Á¶È¸¼ö : 1126
ÆÄÀÏ÷ºÎ : EMG.jpg

³ªÀÌ   ¼ºº°  : 42¼¼ /¿©ÀÚ

 

ÁÖ    Áõ   »ó  : ¿ìÃø 1, 2 ¼öÁö ¸»´Ü  °üÀý ±¼  ±Ù¾àÁõ( 2´Þ)


º´         ·Â  :  ¹èµå¹ÎÅÏ Ä£ ÈÄ  ¿ìÃø Àü¹ÚºÎ ÅëÁõ ¹ß »ý ÈÄ ±Ù¾àÁõ ¹ß»ý.

  

ÀÌÇÐÀû °Ë»ç :   

           ¾öÁö  DIP  flexion    T

           °ËÁö  DIP  flexion    Zero.


±ÙÀüµµ°Ë»ç :  peripheral nueorpathy  of  anterior  interosseous  branch  of   median  nerve,  complete.(÷ºÎ ÆÄÀÏ)


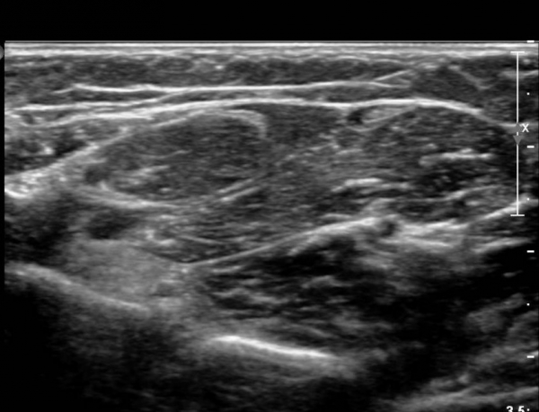
ÃÊÀ½ÆÄ ¼Ò°ß :

              ¾Æ·§ÆÈ¿¡¼­ Àü°ñ°£ ½Å°æºÎÀ§ Ⱦ´Ü¸é°Ë»ç»ó ¾öÁö ±¼±ÙÀÇ °í¿¡ÄÚ º¯¼ºÀÌ °üÂûµÇ°í  Àü°ñ°£µ¿¸Æ 

                ÁÖÀ§¿¡¼­ Á¾±« µî Ưº°ÇÑ ÀÌ»ó ¼Ò°ßÀÌ °üÂûµÇÁö ¾Ê´Â´Ù(»çÁø 1).


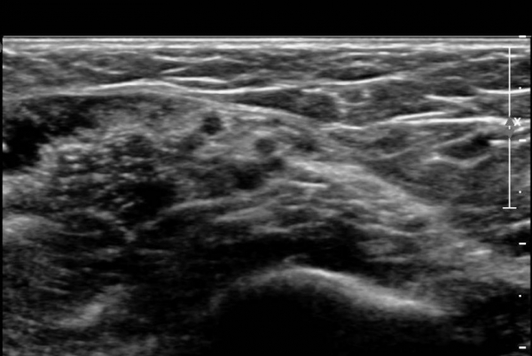
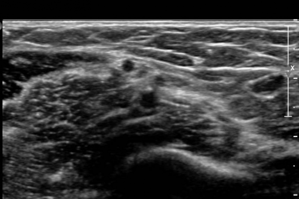
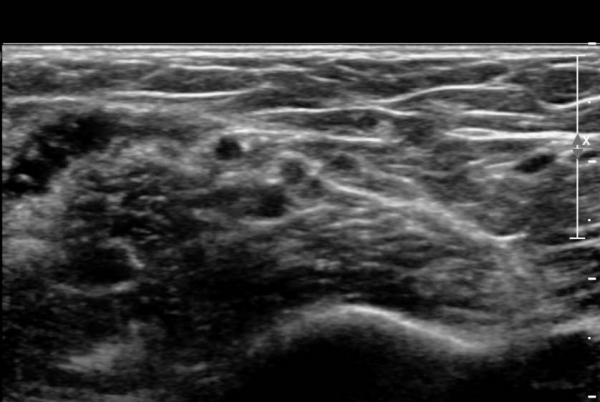
                ŽÃËÀÚ¸¦ »ó¹ÚºÎ ¸»´ÜÀ¸·Î  ¿Å°Ü ÆÈ²ÞÄ¡ ºÎÅÍ ±ÙÀ§ºÎ·Î À̵¿ Çϸ鼭 Á¤Á߽Űæ Ⱦ´Ü¸é°Ë»ç¸¦ 

                ½ÃÇàÇÏ¿´´Ù(»çÁø 2).  ÆÈ²ÞÄ¡ ÁÖ¸§  ¾à  3cm ±ÙÀ§ºÎ¿¡¼­ Á¤Á߽ŰæÀÇ ÀϺΠ´Ù¹ß(fascicle)ÀÇ Àú¿¡ÄÚ ºÎÁ¾ÀÌ

                °üÂûµÈ´Ù(»çÁø 3 , 4,  5,).


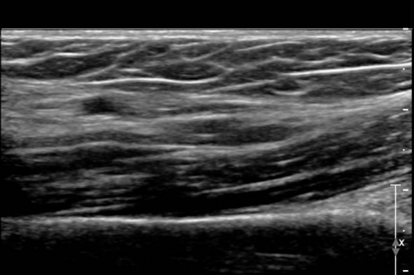
                Á¤Á߽Űæ Á¾´Ü¸é °Ë»ç¿¡¼­µµ  Á¤Áß ½Å°æ ÀϺΠ´Ù¹ßÀÇ ¹æÃßÇü Àú¿¡Ä¿ ºÎÁ¾ÀÌ °üÂûµÈ´Ù(»çÁø 6, 7).

Ä¡       ·á : ¹ßº´ ÈÄ 6°³¿ù °æ°úÇÑ ½ÃÁ¡¿¡¼­  È£ÀüÀÌ ÀüÇô ¾ø¾î »ó±Þ º´¿ø Àü¿øÇÏ¿©  ¼ö¼úÄ¡·á(»çÁø 8, 9).


°í       Âû  :Àü°ñ°£½Å°æ  ¸¶ºñ´Â ¾öÁö¿Í  °ËÁöÀÇ ¸»´Ü °üÀý  ±¼°îÀÌ ¾ÈµÇ´Â ¸¶ºñ¸¦ Ư¡À¸·Î ÇÏ´Â ½Å°æ¸¶ºñ´Ù.

                ¾öÁö¿Í °ËÁöÀÇ  ¸»´Ü °í³ªÀý  ±¼°îÀÌ ¾ÈµÇ¹Ç·Î  ¾öÁö¿Í  °ËÁö·Î  µ¿±×¶ó¹Ì¸¦  ¸¸µé¶ó°í  ÇÏ¸é ¸¸µéÁö

                ¸øÇÏ´Â o  ring  sign(+) ¼Ò°ßÀ» º¸ÀδÙ.

                Àü°ñ°£ ½Å°æÀº ÇǺÎÀÇ °¨°¢½Å°æÀ»  Æ÷ÇÔÇϰí ÀÕÁö ¾ÊÀ¸¹Ç·Î ÆÄºÎÀÇ °¨°¢ °¨¼Ò¸¦ º¸ÀÌÁö ¾Ê´Â´Ù.

                

                Àü°ñ°£ ½Å°æ  ¸¶ºñ´Â ´ë°³ ¾Ë ¼ö ¾ø´Â ¿øÀÎÀ¸·Î  ¹ß»ýÇÏ°í ¾Æ¸¶µµ  ¹Ýº¹µÇ´Â  ȸ³»,  ȸ¿Ü¿îµ¿°ú 

                °ü·ÃÀÌ ÀÖÀ» °ÍÀ¸·Î ÃßÁ¤Çϰí ÀÖÀ¸³ª  Ç×»ó  ½Å°æ ÁÖº¯ÀÇ Á¾±«, Ç÷°üÀ̳ª  ÀδëÀÇ ±âÇü µî¿¡ ÀÇÇÏ¿©

                ¾Ð¹ÚÀÌ ÀÖ´ÂÁö¸¦ È®ÀÎÇØ¾ß ÇÑ´Ù. ÀÌ·± °æ¿ì  ÃÊÀ½ÆÄ °Ë»ç´Â ¸Å¿ì À¯¿ëÇÑ Áø´Ü ¼ö´ÜÀÌ µÉ ¼ö ÀÖ´Ù.

                ÀÌÀü¿¡´Â ½Å°æ º´º¯ÀÇ À§Ä¡´Â ½Å°æ¹Ùºñ°¡ ¹ß»ýÇÑ  ±ÙÀ°À» ±âÁØÀ¸·Î ¹ßº´ ºÎÀ§¸¦  °áÁ¤ÇÏ¿´À¸³ª 

                ÃÖ±Ù¿¡´Â  ÃÊÀ½ÆÄ¿Í  MRI  ¹ßÀüÀ¸·Î ½Å°æ¼Ó ´Ù¹ß(Fascicle) º´º¯ÀÇ Áø´ÜÀÌ °¡´ÉÇÏ¿© ¸»´Ü ±ÙÀ°À» 

                Áö¹èÇÏ´Â ½Å°æ ´Ù¹ßÀÌ ±ÙÀ§ºÎ¿¡¼­ ¼±ÅÃÀûÀ¸·Î ¼Õ»óµÇ¾î ¸»´Ü±ÙÀ°ÀÇ  ¸¶ºñ°¡ ¹ß»ý ÇÒ ¼ö ÀÖÀ½ÀÌ

                ¹àÇôÁ³´Ù.  µû¶ó¼­ ÀÌÀ¯ ¾øÀÌ ¸»ÃÊ½Å°æ ¸¶ºñ°¡ ¹ß»ýÇÑ °æ¿ì¿¡´Â ±ÙÀüµµ°Ë»ç»ó  ½Å°æ ¸¶ºñ ºÎÀ§·Î 

                ÃßÁ¤µÇ´Â ºÎÀ§ »Ó ¾Æ´Ï¶ó  ±ÙÀ§ºÎ Àüü¸¦ ÃÊÀ½ÆÄ°Ë»ç·Î È®ÀÎÇØ¾ß ÇÑ´Ù.

                ƯÈ÷  Àü°ñ°£½Å°æ¸¶ºñ¿Í  Èİñ°£½Å°æ¸¶ºñ¿¡¼­ ½Å°æ´Ù¹ßÀÇ ¼±ÅÃÀû ¸¶ºñ°¡ ÈçÇÏ´Ù. 


               Àü°ñ°£½Å°æ ¸¶ºñ°¡ ÀÌÀ¯ ¾øÀÌ ¹ß»ýÇÏ°í ½Å°æÀ» ¾Ð¹ÚÇÏ´Â Á¾±«°¡ °üÂûµÇÁö ¾Ê´Â °æ¿ì ¹°¸®Ä¡·á, ¾à¹°Ä¡·á 

               µî º¸Á¸ÀûÀ¸·Î Ä¡·áÇÏ°í °æ°ú¸¦ °üÂûÇÏ¿©  6°³¿ù ÈÄ¿¡µµ  È£ÀüÀ» º¸ÀÌÁö ¾Ê´Â °æ¿ì ½Å°æ¹Ú¸®¼ú(neurolysis)À»

               ½ÃÇàÇϱ⵵ ÇÑ´Ù.


               º» Áõ·Ê¿Í  °°Àº °æ¿ì´Â Àü°ñ°£ ½Å°æÀÇ ±ÙÀ§ºÎ¿¡¼­ ½Å°æ´Ù¹ßÀÇ ºñƲ¸²(torsion)¿¡ ÀÇÇÏ¿© ¹ß»ýÇÏ¿´°í 

               ºñƲ¸²¿¡ ÀÇÇØ ¹ß»ýÇÑ  °æ¿ì¿¡´Â ÀÚ¿¬ÀûÀΠȣÀüÀÌ ¸Å¿ì µå¹°¾î¼­ Á¶±â¿¡  ¼ö¼úÄ¡·á¸¦ ½ÃÇàÇÏ´Â °ÍÀÌ

               ÀûÀýÇÑ  Ä¡·á ¹æ¹ýÀ¸·Î »ý°¡µÈ´Ù.


               ÃÊÀ½ÆÄ °Ë»ç´Â ½Å°æÀÇ ±¹¼ÒÀû ¾Ð¹ÚÀ̳ª  µÚƲ¸²(torsion)¿¡ ÀÇÇÑ º´º¯À» ¹ß°ßÇÏ¿© Á¶±â¿¡ ÀûÀýÇÑ Ä¡·á¸¦

               ¹ÞÀ» ¼ö ÀÖµµ·Ï µµ¿ÍÁִ  ¸Å¿ì À¯¿ëÇÑ Áø´Ü±â±âÀÌ´Ù.


°ü ·Ã ³í¹®                         

           1. Anterior Interosseous Nerve Syndrome Reconsidered


              2. Selective Fascicular Involvement of the Median Nerve Trunk Causing Pseudo-Anterior Interosseous Nerve Syndrome: Ultrasound and 

                 MR Imaging Features  


              3. SPONTANEOUS ANTERIOR INTEROSSEOUS NERVE PALSY 


              4. The first case of hourglass-like constriction neuropathy of a digital nerv


°ü ·Ã Áõ ·Ê

          1. radial nerve  torsion(±¹¼ÒÀû ÇùÂø¿¡ ÀÇÇÑ ¿ä°ñ½Å°æ ¸¶ºñ¿¡ µû¸¥ ¼Õ¸ñ Çϼö(wrist drop due tp radial nerve neuropathy with focal constricture)


               2. Àü°ñ°£½Å°æ ¸¶ºñ¿Í °¨º°Áø´ÜÀÌ ÇÊ¿äÇÑ À幫Áö±¼±Ù(FPL) ÈûÁÙ ÆÄ¿­ ÃÊÀ½ÆÄ ¼Ò°ß 

               

   

ÀÌÀü±Û °í°üÀý ¿Í¼ø. °üÀý³¶ ¼®È¸È­ ÃÊÀ½ÆÄ °Ë»ç ¹× Ä¡·á
´ÙÀ½±Û ¾öÁö¹ß°¡¶ô Àå±¼±Ù°Ç ¿°Áõ¿¡ ÀÇÇÑ ³»Ãø Á·Àú½Å°æ º´Áõ (PN of medial plantar nerve due to tenosynovitis of FHL)
       
°¡¸ÍÁ¡¸í : ½Ã¸®¾Ç½ºÁ¤ÇüÀÇÇבּ¸È¸
»ç¾÷ÀÚµî·Ï¹øÈ£ : 894-81-00627 | ´ëÇ¥ÀÚ : ÀåµÎÇõ
 
ÁÖ¼Ò : °æ±âµµ ¾çÆò±º ¿ë¹®¸é ¿ë¹®·Î 375-1, 2Ãþ 1È£
TEL : 010-2323-4055
E-mail : cyriax12@naver.com
ÀԱݾȳ»
±¹¹ÎÀºÇà | ½Ã¸®¾Ç½ºÁ¤ÇüÀÇÇבּ¸È¸(ÁÖ)
220401-04-194155