[¹ß¸ñ] neuroma of baxter's nerve(¹Ú½ºÅÍ ½Å°æÁ¾)
ÀÛ¼ºÀÚ : ÃÖÀçÀÍ(jic121@hanmail.net) ÀÛ¼ºÀÏ : 2023-08-30 Á¶È¸¼ö : 1084
ÆÄÀÏ÷ºÎ :

³ªÀÌ   ¼ºº°  :  55 /  ¿©ÀÚ


ÁÖ   Áõ   »ó  : ÁÂÃø »õ³¢¹ß°¡¶ô ¹ú¾îÁöÁö ¾Ê´Â´Ù (±â°£ : 2ÀÏ)

                    »õ³¢ ¹ß°¡¶ô ¸¸Áö¸é ¾ÆÇÁ´Ù


º´         ·Â  : Ưº°ÇÑ ÀÌÀ¯ ¾øÀÌ ÁÂÃø »ó±â Áõ»ó  ¹ß»ý

                     


ÀÌÇÐÀû °Ë»ç »õ³¢ ¹ß°¡¶ô ¿ÜÀü(  Normal / Zero) 


±ÙÀüµµ °Ë»ç : ½ÉÇÑ ¾Æ·¡ µÚ²ÞÄ¡ ½Å°æ º´Áõ(severe  peripheral neuropathy  of  inferior  calcaneal  nerve)

               (»çÁø 7). 


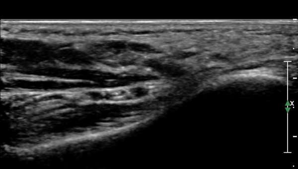
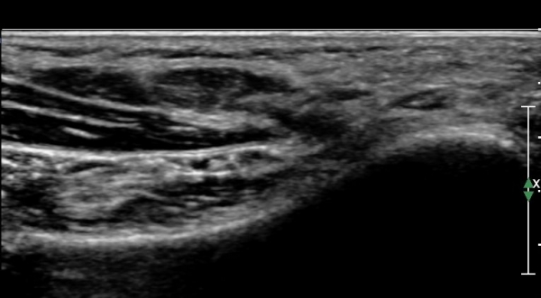
ÃÊÀ½ÆÄ°Ë»ç :  ¹ßµÚ²Þ ³»Ãø¿¡¼­ ¾Æ·¡µÚ²ÞÄ¡½Å°æ(inferior calcaneal nerve : Baxter's nerve) Ⱦ´Ü¸é °Ë»ç»ó

              ¹«Áö¿ÜÀü±Ù°ú Á·Àú¹æÇü±Ù(quadratus plantae) »çÀÌ¿¡¼­ ¾Æ·¡ µÚ²ÞÄ¡µ¿¸Æ ÈĹ濡 ¾Æ·¡µÚ²ÞÄ¡½Å°æÀÌ

              Àú¿¡ÄÚ ¸ð¾çÀ¸·Î °üÂûµÈ´Ù(»çÁø 1, 2).


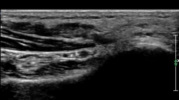
              ŽÃËÀÚ¸¦ Á¶±Ý ´õ ¹ß¹Ù´ÚÃøÀ¸·Î À̵¿ÇÏ´Ï ¾Æ·¡µÚ²ÞÄ¡½Å°æÀÌ Àú¿¡ÄÚ µ¢¾î¸® ¸ð¾çÀ¸·Î °üÂûµÈ´Ù

              (»çÁø 3, 4)


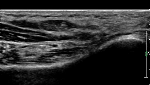
              ÆÄ¿öµµÇ÷¯¸¦ Àû¿ëÇÏ´Ï ½Å°æ°ú Ç÷°üÀÇ ±¸ºÐÀÌ ¶Ñ·ÇÇÏ´Ù(»çÁø 5).



°í      Âû : ¾Æ·¡µÚ²ÞÄ¡½Å°æÀº »çÁø 6°ú °°ÀÌ ¿ÜÃø Á·Àú½Å°æÀÇ Ã¹¹øÂ° °¡Áö·Î ¹ß µÚ²ÞÄ¡ ½ÉºÎÀÇ °¨°¢ °¨°¢½Å°æÀ»

              ÁÖ°í ¶ÇÇÑ Á·Àú¹æÇü±Ù°ú ¼Ò¿ÜÀü±Ù(abductor digiti minimi)ÀÇ ¿îµ¿½Å°æÀ» ºÐÁöÇÑ´Ù.

              ¾Æ·¡µÚ²ÞÄ¡½Å°æÀÌ µÚ²ÞÄ¡¿¡¼­ ¾Ð¹ÚµÇ¸é Á·Àú±Ù¸·¿°°ú À¯»çÇÑ Áõ»óÀ» À¯¹ßÇÒ ¼ö ÀÖ°í °æ¿¡¿¡ µû¶ó¼­´Â

              ÀÌ ½Å°æÀÇ Áö¹è¸¦ ¹Þ´Â ±ÙÀ°ÀÇ ¸¶ºñ¸¦ À¯¹ß ÇÒ ¼ö ÀÖ´Ù.

              Á¤»óÀûÀÎ ¸¹Àº »ç¶÷µéÀÌ »õ³¢ ¹ß°¡¶ôÀ» ´Éµ¿ÀûÀ¸·Î ¿ÜÀü½ÃŰÁö ¸øÇÏ´Â °æ¿ì°¡ ¸¹¾Æ¼­  ȯÀÚ°¡ È£¼ÒÇÏ´Â

              »õ³¢¹ß°¡¶ôÀÌ ¹ú¾îÁöÁö ¾Ê´Â´Ù´Â Áõ»óÀº ½Å·ÚÇϱⰡ ¾î·Á¿üÁö¸¸ ±ÙÀüµµ°Ë»ç¿¡¼­ ¾Æ·¡µÚ²ÞÄ¡½Å°æÀÇ 

              º´ÁõÀÌ È®Àεǰí ÀÌÇÐÀû°Ë»ç¿¡¼­ ¹Ý´ëÃø »õ³¢¹ß°¡¶ôÀº Á¤»óÀûÀ¸·Î ÈûÀÖ°Ô ¹ú¾îÁö´Â ¸ð½ÀÀ» °üÂûÇϰí

              ¾Æ·¡µÚ²ÞÄ¡½Å°æ º´ÁõÀ» È®Áø ÇÒ ¼ö ÀÖ¾úÀ¸¸ç ½Å°æ º´ÁõÀÇ ¿øÀÎÀ» È®ÀÎÇϰíÀÚ ÃÊÀ½ÆÄ°Ë»ç¸¦ ½ÃÇàÇÏ¿©

              ½Å°æÀÇ Àú¿¡ÄÚ ºÎÁ¾À» È®ÀÎÇÏ°í ½Å°æÁ¾À¸·Î ÃßÁ¤ÇÏ¿´´Ù.

              Ÿº´¿ø¿¡¼­ ÀÚ±â°ø¸í°Ë»ç¸¦ ½ÃÇàÇÏ¿´À¸³ª ƯÀÌ ¼Ò°ßÀº È®ÀεÇÁö ¾Ê¾Ò´Ù.

              ½Å°æÁ¾ÀÌ ¸Å¿ì À۾Ƽ­ Á÷Á¢ÀûÀ¸·Î °üÂûµÇÁö ¾ÊÀ» ¼ö ÀÖÁö¸¸ ¹ßº´ ÈÄ ¾î´À Á¤µµ ½Ã°£ÀÌ °æ°ú µÇ¸é ±ÙÀ°                ÀÇ Å»½Å°æ º¯È­°¡ °üÂûµÉ ¼ö Àִµ¥ ±Þ¼º±â À̾ ƯÀÌ ¼Ò°ßÀÌ °üÂûµÇÁö ¾ÊÀº °ÍÀ¸·Î ÃßÁ¤µµ´Ï´Ù.

              ±¸±Û °Ë»ö¿¡¼­ ¼ö¼úÀ̳ª ¿Ü»ó ¾øÀÌ ¹ß»ýÇÑ Áõ·Ê¸¦ ã±â ¾î·Á¿ö ¸Å¿ì µå¹® Áõ·ÊÀ̰í Ãß°¡ÀûÀÎ °æ°ú °üÂû                ÀÌ ÇÊ¿äÇÑ ¼ÒÁßÇÑ Áõ·Ê·Î ÆÇ´ÜµÈ´Ù.


Âü°í ¹®Çå    1. neuromas of the calcaneal nerves.

             https://sci-hub.se/https://doi.org/10.1177/107110070102201106


                 2. Baxter¡¯s Nerve (First Branch of the Lateral Plantar Nerve) Impingement

                 https://radsource.us/baxters-nerve/



                  


ÀÌÀü±Û Á¾°ñ Àü¹æµ¹±â ¹× °Å°ñ, ¼³Çü°ñ, ÀÔ¹æ°ñ, ÁßÁ·°ñ ´Ù¹ß¼º °ß¿­°ñÀý(multiple avulsion fx. of ankle and foot)
´ÙÀ½±Û °í°üÀý ¿Í¼ø. °üÀý³¶ ¼®È¸È­ ÃÊÀ½ÆÄ °Ë»ç ¹× Ä¡·á
       
°¡¸ÍÁ¡¸í : ½Ã¸®¾Ç½ºÁ¤ÇüÀÇÇבּ¸È¸
»ç¾÷ÀÚµî·Ï¹øÈ£ : 894-81-00627 | ´ëÇ¥ÀÚ : ÀåµÎÇõ
 
ÁÖ¼Ò : °æ±âµµ ¾çÆò±º ¿ë¹®¸é ¿ë¹®·Î 375-1, 2Ãþ 1È£
TEL : 010-2323-4055
E-mail : cyriax12@naver.com
ÀԱݾȳ»
±¹¹ÎÀºÇà | ½Ã¸®¾Ç½ºÁ¤ÇüÀÇÇבּ¸È¸(ÁÖ)
220401-04-194155