[¹ß¸ñ] Á¾°ñ Àü¹æµ¹±â ¹× °Å°ñ, ¼³Çü°ñ, ÀÔ¹æ°ñ, ÁßÁ·°ñ ´Ù¹ß¼º °ß¿­°ñÀý(multiple avulsion fx. of ankle and foot)
ÀÛ¼ºÀÚ : ÃÖÀçÀÍ(jic121@hanmail.net) ÀÛ¼ºÀÏ : 2023-09-02 Á¶È¸¼ö : 1336
ÆÄÀÏ÷ºÎ : 20230901_163851.jpg

³ªÀÌ   ¼ºº°  :  57 /  ¿©ÀÚ


ÁÖ   Áõ   »ó  : ¿ìÃø ¹ßµî ÅëÁõ (±â°£ : 1ÀÏ)

                


º´         ·Â  : ÇÏ·ç Àü ³Ñ¾îÁø ÈÄ ¾ÆÇÁ´Ù

                  °È±â ¾ÆÇÁ´Ù.

                     


ÀÌÇÐÀû °Ë»ç : ÆÄÇà º¸Çà(+).  ¹ßµî ºÎÁ¾(+)

               ¾ÐÅë(+) calcaneocuboid joint(+)

               passive flexion,  inversion  painful(+)



¹æ»ç¼± °Ë»ç : Æ¯ÀÌ ¼Ò°ß ¾øÀ½ 


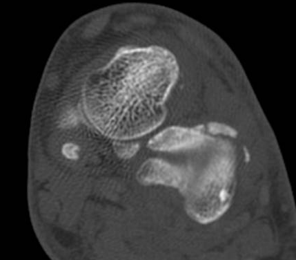
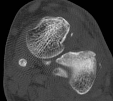
ÄÄÇ»ÅÍ ÃÔ¿µ : Á¾°ñÀÇ °ñÀý , µÎ ºÎÀ§(÷ºÎ ÆÄÀÏ Âü°í)

               ÄÄÇ»ÅÍ ÃÔ¿µ ÆÇµ¶¿¡¼­ Á¾°ñÀÇ µÎ ºÎÀ§ °ß¿­°ñÀýÀÌ ¾ð±ÞµÇ¾úÁö¸¸ ÃÊÀ½ÆÄ°Ë»ç»ó  Ãß°¡ÀûÀÎ °ñÀýÀ»

               È®ÀÎÇÒ ¼ö ÀÖ¾ú´Ù.

               ÄÄÇ»ÅÍ ÃÔ¿­»óÀÇ °ñÀý ºÎÀ§´Â ÃÊÀ½ÆÄ°Ë»ç¿¡¼­ È®ÀÎÇÒ ¼ö ÀÖ¾ú°í »çÁø 10~15¿¡¼­ È®ÀÎÀÌ °¡´ÉÇÏ´Ù.

  

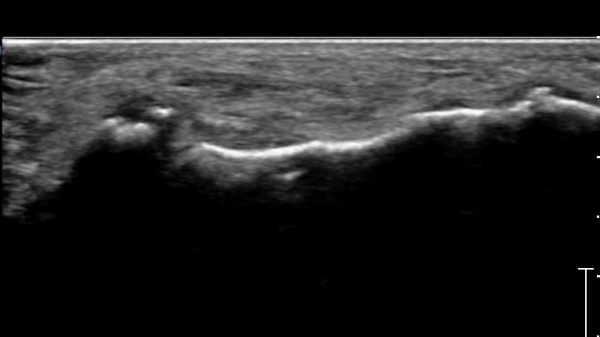
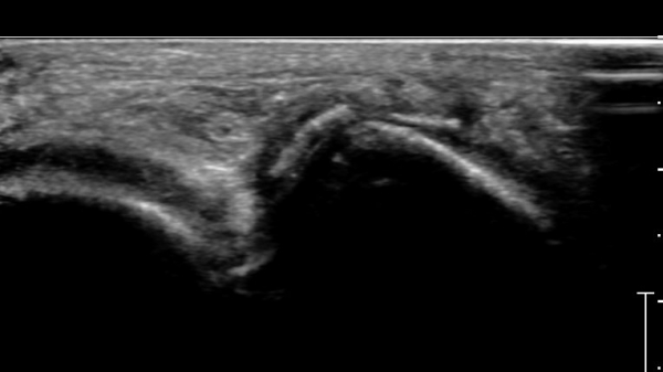
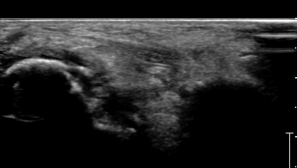
ÃÊÀ½ÆÄ°Ë»ç :  Àü°ÅºñÀδë Á¾´Ü¸é°Ë»ç¿¡¼­ Àü°ÅºñÀδëÀÇ Àú¿¡ÄÚ À§ÃàÀÌ °üÂûµÇ°í °Å°ñ °æºÎÀÇ °ß¿­°ñÀý ¹×

              °Å°ñÁÖ»ó°ñ°üÀý ºÎÁ¾ÀÌ °üÂûµÈ´Ù(»çÁø 1).


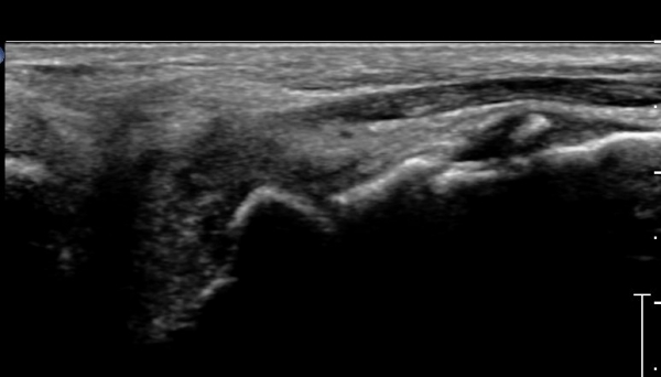
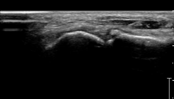
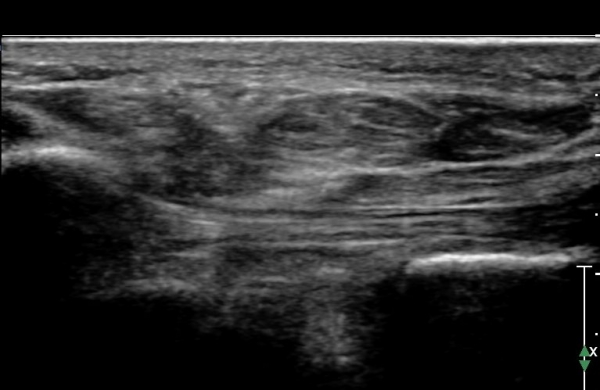
              Á¾°ñÀÔ¹æ°ñ°üÀý Á¾´Ü¸é°Ë»ç»ó Á¾°ñ Àü¹æµ¹±â °ß¿­°ñÀý°ú Á¦4ÁßÁ·°ñ °ß¿­°ñÀýÀÌ °üÂûµÈ´Ù(»çÁø 2).

              

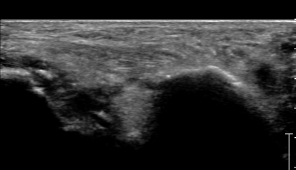
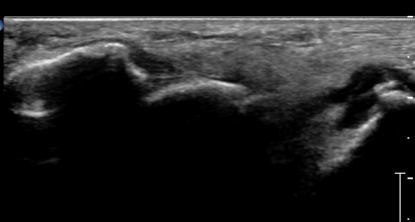
              Á¾°ñ Àü¹æµ¹±â Ⱦ´Ü¸é°Ë»ç»ó Àü¹æµ¹±â ¿ÜÃø°ú ³»ÃøºÎ °ß¿­°ñÀýÀÌ °üÂûµÈ´Ù(»çÁø 3).


              ¹ß¸ñ ÇϺνÅÀüÁöÁö¶ì(inferior extensor retinaculum)ÀÇ frondiform Àδë Á¾´Ü¸é°Ë»ç ¹× Á·±Ùµ¿ 

              Ⱦ´Ü¸é°Ë»ç¿¡¼­ °Å°ñ °æºÎ ¿ÜÃø °ß¿­°ñÀý, frondiformÀÎ´ë ½ÉÃþ ¼Õ»ó, ±×¸®°í Á·±Ùµ¿ °æºÎÀδë

              (cervical ligament) ÆÄ¿­ÀÌ ÃßÁ¤µÈ´Ù(»çÁø 4, 5).


              ¹ß ¾Õ, ³»Ãø °Å°ñ¼³»ó°ñ Á¾´Ü¸é °Ë»ç¿¡¼­ ¼³»ó°ñ °ß¿­°ñÀýÀÌ °üÂûµÈ´Ù(»çÁø 6).

              

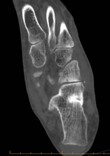
              ¹ßµî Lisfrang °üÀý Ⱦ´Ü¸é °Ë»ç¿¡¼­ Á¦2 ÁßÁ·°ñ ±âÀúºÎ °ß¿­°ñÀýÀÌ °üÂûµÈ´Ù(»çÁø 7).


              ¹ß¹Ù´Ú Á¾´Ü¸é°Ë»ç¿¡¼­ ´ÜÁ·ÀúÀÎ´ë ºÎÂøºÎ ÀÔ¹æ°ñÀÇ °ñÀýÀÌ ÃßÁ¤µÈ´Ù(»çÁø 8).


              ¹ß¹Ù´Ú Àåºñ°ñ ÀÎ´ë ºÎÂøºÎ¿¡¼­ ƯÀÌ ¼Ò°ß º¸ÀÌÁö ¾Ê¾Æ ¹ß¹Ù´ÚÃø lisfrang Àδë´Â ¼Õ»óÀÌ ¾ø´Â 

              °ÍÀ¸·Î ÃßÁ¤µÈ´Ù(»çÁø 9).


°í     Âû : ÀÌ È¯ÀÚÀÇ °æ¿ì¿Í °°ÀÌ ¹æ»ç¼± ÃÔ¿µ»ó ÀÌ»ó ¼Ò°ßÀ» º¸ÀÌÁö ¾Ê´õ¶óµµ »ó´çÈ÷ ´Ù¾çÇÑ °ß¿­°ñÀýÀ»

              º¸ÀÏ ¼ö À־ ºÎÁ¾, ±¹¼ÒÀû ¾ÐÅë, º¸ÇàÀå¾Ö(ÆÄÇ༺ º¸Çà)¸¦ º¸ÀÌ´Â °æ¿ì¿¡´Â ¹Ýµå½Ã ÃÊÀ½ÆÄ°Ë»ç 

            ¶Ç´Â ÄÄÇ»ÅÍ ÃÔ¿µÀ» ½ÃÇàÇÏ¿© ¼Õ»ó ¹üÀ§¸¦ Á¤È®È÷ ÆÄ¾ÇÇÏ¿© ÃÖÀûÀÇ Ä¡·á¸¦ ½ÃÇàÇØ¾ß ¸¸¼ºÀûÀΠ

              ÈÄÀ¯ÁõÀ» ¿¹¹æ ÇÒ ¼ö ÀÖ´Ù.

              ¶ÇÇÑ ¹ß¸ñ ¿ÜÃøºÎ ¼Õ»ó ½Ã ¾ÕÂÊÇϺΰæ°ñºñ°ñÀδë(aanterior infrior tibiofibular ligament) »Ó 

              ¾Æ´Ï¶ó ¾Æ·¡½ÅÀüÁöÁö¶ìÀÇ frondiform Àδ븦 öÀúÈ÷ °Ë»çÇÏ¿© ÀÌÀδë¿Í Á·±Ùµ¿ÀÇ °æºÎÀÎ´ë ¹×

              °ñ°£ÀÎ´ë ¼Õ»ó Áï °Å°ñÇÏ °üÀýÀÇ ¼Õ»ó ¿©ºÎ¸¦ ÆÄ¾ÇÇÏ´Â °ÍÀº ¸Å¿ì Áß¿äÇÑ ¿ä¼ÒÀÌ´Ù.

              Á¾°ñÀÔ¹æ°ñÀδëÀÇ ¼Õ»óÀ̳ª °ß¿¬°ñÀýÀÌ ¹æÄ¡µÇ¸é ÀÔ¹æ°ñÁõÈıºÀÌ À¯¹ßµÉ ¼ö ÀÖ°í Lisfrang Àδë

              ¼Õ»óÀ̳ª °ß¿­°ñÀýÀÌ ÀûÀýÇÏ°Ô Ä¡·á°¡ ¾ÈµÇ¸é ÀüÁ·ºÎ ¾ÈÀü¼ºÀÌ ÈÑ¼ÕµÇ¾î ¹ßÀÇ ³»¹Ýº¯ÇüÀ» ÃÊ·¡ÇÒ ¼ö

              ÀÖÀ½À» ÁÖ¸ñÇØ¾ßÇÑ´Ù.


Âü°í ¹®Çå  : 1. Retinacular Disorders of the Ankle and Foot

                         https://sci-hub.st/10.1055/s-0030-1254518


                      2. The frondiform ligament and pseudotenosynovitis of the extensor digitorum longus tendon: 

                 MRI evaluation with cadaveric correlation

                           https://sci-hub.se/https://doi.org/10.1007/s00256-016-2395-6

 

              3. The frondiform ligament sling: a sonographic landmark for injection into the sinus tarsi

                           https://sci-hub.se/https://link.springer.com/article/10.1007/s40477-021-00571-1

 

              4. The frondiform ligament sling: a sonographic landmark for injection into the sinus tarsi

                            https://sci-hub.se/https://link.springer.com/article/10.1007/s40477-021-00571-1

   

                      5,.  Á·±Ùµ¿ ÃÊÀ½ÆÄ ¼Ò°ß

                 http://cyriax.co.kr/sub03-03.php?ptype=view&idx=6345&page=2&code=dataroom03&category=138


              6. ¹ß¸ñÀÇ ´Ù¹ß¼º ÀδëÆÄ¿­(¸»´Ü °æ°ñºñ°ñÀδë, Àü°ÅºñÀδë, Á¾°ñÀÔ¹æ°ñÀδë) ÃÊÀ½ÆÄ°Ë»ç

               http://cyriax.co.kr/sub03-03.php?ptype=view&idx=5866&page=1&code=dataroom03&category=138



ÀÌÀü±Û °Å°ñÇϰüÀý¿°¿¡ º´¹ßµÈ ºñ°ñ°Ç¿°(secondary peroneal tendinitis due to subtalar arthritis)
´ÙÀ½±Û neuroma of baxter's nerve(¹Ú½ºÅÍ ½Å°æÁ¾)
       
°¡¸ÍÁ¡¸í : ½Ã¸®¾Ç½ºÁ¤ÇüÀÇÇבּ¸È¸
»ç¾÷ÀÚµî·Ï¹øÈ£ : 894-81-00627 | ´ëÇ¥ÀÚ : ÀåµÎÇõ
 
ÁÖ¼Ò : °æ±âµµ ¾çÆò±º ¿ë¹®¸é ¿ë¹®·Î 375-1, 2Ãþ 1È£
TEL : 010-2323-4055
E-mail : cyriax12@naver.com
ÀԱݾȳ»
±¹¹ÎÀºÇà | ½Ã¸®¾Ç½ºÁ¤ÇüÀÇÇבּ¸È¸(ÁÖ)
220401-04-194155