¹ß¸ñ °üÀýÀº ¸Í½ÃÇÏ¿¡¼µµ ºñ±³Àû ½±°Ô °üÀý³» Áֻ縦 ½ÃÇàÇÒ ¼ö ÀÖ´Ù.
¸Í½ÃÇÏ¿¡¼ ÁÖ»ç ¹æ¹ýÀº Àü°æ°ñ°Ç(tibialis anterior) ³»Ãø¿¡¼ ¾à 20µµ ³»Ãø ¹æÇâÀ¸·Î ÁÖ»ç¹Ù´ÃÀ» »ðÀÔÇÏ¿© ¿¬°ñ°ú Á¢ÃËÀÌ µÇ¸é Á¢ÃËÀ» À¯ÁöÇÑ Ã¤·Î Áֻ縦 ½ÃÇàÇ쵂 ÁÖ»ç¾×ÀÌ ºÎµå·´°Ô Áֻ簡 ¾ÈµÇ´Â °æ¿ì¿¡´Â ÁÖ»ç ¹Ù´ÃÀ» ¹Ì¼¼ÇϰÔ(¾à 0.5 mm) »« ÈÄ Áֻ縦 ½ÃÇàÇÑ´Ù. ÁÖ»ç ¹Ù´ÃÀÌ ¿¬°ñ(°Å°ñ)¿¡ Á¢ÃËÇÑ °æ¿ì¿Í »À(°æ°ñ)¿¡ Á¢ÃËÇÑ °æ¿ì´Â ´À³¦ÀÌ ´Ù¸£´Ù. »À¿¡ Á¢ÃËÇÑ °æ¿ì¿¡´Â ´ú°Å´ö °Å¸®´Â ´À³¦ÀÌ°í ¿¬°ñ¿¡ Á¢ÃËÇÑ °æ¿ì¿¡´Â ºÎµå·´°Ô Àܵð¹ç¿¡ Á¢ÃËÇÏ´Â ´À³¦ÀÌ´Ù.
¸Í½ÃÇÏ ÁÖ»ç´Â ¹°·Ð Àü°æ°ñ°Ç ¿ÜÃø ¶Ç´Â ÀåÁ·Áö½ÅÀü°Ç ¿ÜÃø¿¡¼µµ ½ÃÇàÇÒ ¼ö ÀÖ´Ù. ÃÊÀ½ÆÄ À¯µµÇÏ °üÀý³» ÁÖ»ç´Â ¹ø°Å·Ó°í ±â¼úÀûÀÎ ¿¬½ÀÀÌ ÇÊ¿äÇÏÁö¸¸ ¹ßµîµ¿¸ÆÀÇ ¼Õ»óÀ» ÇÇÇÒ ¼ö ÀÖ°í Á¤È®ÇÏ°Ô °üÀý³»·Î ÁÖ»ç ÇÒ ¼ö ÀÖ´Ù´Â ÀåÁ¤ÀÌ ÀÖ´Ù.
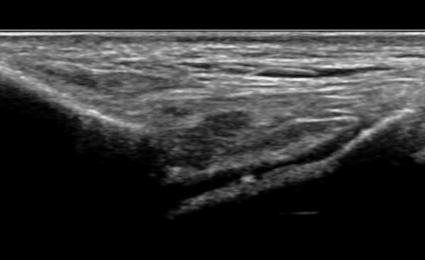
ÃÊÀ½ÆÄ À¯µµÇÏ Áֻ縦 À§Çؼ´Â ¸ÕÀú ¹ß¸ñÀÇ È¾´Ü¸é°Ë»ç¸¦ ½ÃÇàÇÏ¿© ¹ßµî µ¿¸Æ°ú ½ÉºÎºñ°ñ½Å°æÀÇ À§Ä¡¸¦ ÆÄ¾ÇÇÑ´Ù. ¹ßµîµ¿¸ÆÀº ´ë°³ À幫Áö½ÅÀü°Ç°ú ÀåÁ·½ÅÀü°Ç »çÀÌ¿¡ À§Ä¡ÇÏ°í ½ÉºÎºñ°ñ½Å°æÀº ¹ßµîµ¿¸ÆÀÇ ³»Ãø ¶Ç´Â À§Ä¡¿¡ µû¶ó ¿ÜÃø¿¡ À§Ä¡ÇÑ´Ù(»çÁø 1). ¹ßµîµ¿¸ÆÀÌ À幫Áö½ÅÀü°Ç°ú ÀåÁ·½ÅÀü°Ç »çÀÌ¿¡ Á¸ÀçÇÏ´Â °ÍÀ» È®ÀÎ ÈÄ Àü°æ°ñ°Ç¿¡ À§Ä¡½Ã۸é Àü°æ°ñ°ÇÀ» âÀ¸·Î ¹ß¸ñ°üÀý°À» È®ÀÎÇÒ ¼ö ÀÖ´Ù(»çÁø 2). Àü°æ°ñ°Ç ³»Ãø¿¡¼ Áֻ縦 ¿øÇϸé ŽÃËÀÚ¸¦ ¾à°£ ³»ÃøÀ¸·Î ±â¿ïÀÌ¸é ³»ÃøÀÇ ¹ß¸ñ°üÀýÀ» °üÂûÇÒ ¼ö ÀÖ´Ù (»çÁø 3).
ÁÖ»ç¹Ù´ÃÀº ŽÃËÀÚÀÇ ¾à°£ ¿ÜÃø(5 mm)¿¡¼ °üÀý°ÀÇ ±íÀ̸¦ °¨¾ÈÇÏ¿© ÁÖ»ç¹Ù´ÃÀÇ ³¡ÀÌ Å½ÃËÀÚ Æø(µÎ²²)À» ³Ñ¾î°¡Áö ¾Êµµ·Ï °¢µµ¸¦ ÁÖ¾î »ðÀÔÇÏ¿© ¹Ù´Ã ³¡ÀÌ °üÀý°³»¿¡ À§Ä¡ÇÑ °ÍÀ» È®ÀÎ ÈÄ ¾à°£ÀÇ ÁÖ»ç¾×À» ÁÖ»ç ÈÄ ÁÖ»ç¾×ÀÌ °üÀý³»·Î Àß µé¾î°¡°í ½ÉÇÑ ÅëÁõ µî ¹®Á¦°¡ ¾øÀ¸¸é ³ª¸ÓÁö ÁÖ»ç¾×À» ÁÖ»çÇÑ´Ù. ÁÖ»ç¹Ù´ÃÀÌ °üÀý³»¿¡ À§Ä¡Çϰí ÀÖÁö¸¸ ÁÖ»ç¾×ÀÌ Àß ¾Èµé¾î°¡´Â °æ¿ì´Â ÁÖ»ç¹Ù´ÃÀÌ ¿¬°ñ¿¡ °úµµÇÏ°Ô Á¢ÃËÇÑ °æ¿ì À̹ǷΠ¹Ù´ÃÀ» ¾à°£ »« ÈÄ ÁÖ»çÇÑ´Ù. ÁÖ»ç ÃÊÀ½ÆÄ µ¿¿µ»ó ÷ºÎ µ¿¿µ»ó 1(¿ÜÃø) ÷ºÎ µ¿¿µ»ó 2(³»Ãø) Âü°í  |