Á¤Á߽Ű泻 Á¾¾ç(mass in median nerve)
ÀÛ¼ºÀÚ : ÃÖÀçÀÍ(jic121@hanmail.net) ÀÛ¼ºÀÏ : 2023-10-29 Á¶È¸¼ö : 446
ÆÄÀÏ÷ºÎ :

³ªÀÌ  ¼ºº°  :  69 /  ¿©ÀÚ


ÁÖ  Áõ  »ó  : ¿ìÃø 2,3 4, ¼Õ°¡¶ô °¨°¢ °¨¼Ò, ¸¸Á® º¸¸é °¨°¢ÀÌ µÐÇÏ´Ù( 4 ´Þ)

                Àú¸²Áõ ¾ø´Ù

                

º´      ·Â  : ´ëÀå¾Ï ¼ö¼ú(+)  01¿ù/2023³â                   


ÀÌÇÐÀû °Ë»ç : 2, 3, 4, ¼Õ°¡¶ô °¨°¢ °¨¼Ò

               ±Ù·Â °Ë»ç  APB (F-)   ADQ   N

               Hoffman sign (-/-)

               spurling test(-/-)


±ÙÀüµµ °Ë»ç : peripheral neuroapthy of median nerve at wrist level, rt.  


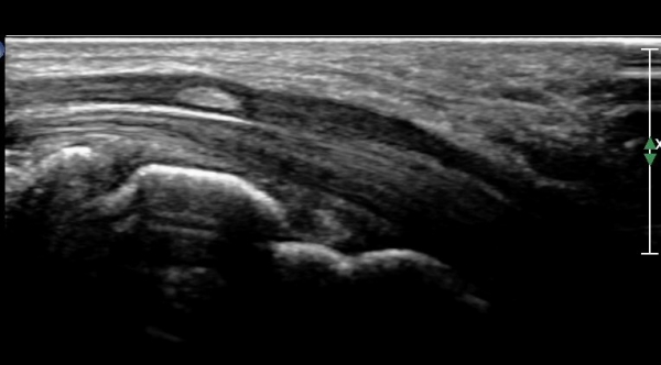
ÃÊÀ½ÆÄ °Ë»ç :  ¼Õ¸ñ¿¡¼­ Á¤Á߽Űæ Ⱦ´Ü¸é°Ë»ç»ó Á¤Á߽Ű泻 °í¿¡ÄÚ Á¾±«°¡ °üÂûµÈ´Ù(»çÁø 1)

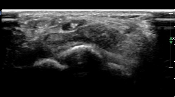
                ¼ö±Ù°ü ±ÙÀ§ºÎ Ⱦ´Ü¸é°Ë»ç¿¡  ƯÀÌ ¼Ò°ß º¸ÀÌÁö ¾Ê´Â´Ù(»çÁø 2)

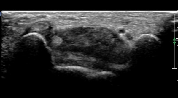
                ¼Õ¸ñ ºÎÀ§¿¡ Á¤Á߽Űæ Á¾´Ü¸é°Ë»ç»ó Á¤Á߽Ű泻 Ÿ¿øÇüÀÇ °í¿¡ÄÚ Á¾±«°¡ °üÂûµÇ´Âµ¥(»çÁø 3)

                ÆÄ¿öµµÇ÷°¸Ó»ç»ó Ç÷·ùÁõ°¡´Â °üÂûµÇÁö ¾Ê´Â´Ù(»çÁø 4).

°í      Âû : ¼Õ°¡¶ô¿¡ °¨°¢ ÀÌ»óÀÌ ¹ß»ýÇÏ´Â °æ¿ì ¼ö±Ù°üÁõÈıº, °æÃß µð½ºÅ©º´º¯, °æ¼öÁõÀ» °¨º°Áø´Ü ÇØ¾ß 
              Çϴµ¥ ±ÙÀüµµ °Ë»ç´Â ¸Å¿ì Áß¿äÇÑ ¿ªÇÒÀ» ÇÒ ¼ö ÀÖ´Ù.
              ±×·¯³ª ±ÙÀüµµ°Ë»ç»ó ¼ö±Ù°üÁõÈıºÀ»  ½Ã»çÇÏ´Â "Á¤Á߽ŰæÀÇ ¼Õ¸ñ ºÎÀ§¿¡¼­ º´Áõ" ¼Ò°ßÀ»
              º¸°íÇÏ´Â °æ¿ì ´ëºÎºÐÀº ¼ö±Ù°üÁõÈıºÀÌÁö¸¸ °æ¿ì¿¡ µû¶ó¼­´Â Á¤Á߽Ű泻 ¶Ç´Â ½Å°æÁÖÀ§ Á¾¾çÀ¸·Î
              ¿øÀÎ ÁúȯÀÌ È®À뵃 ¼ö ÀÖÀ¸¹Ç·Î º´·Â»ó ºñƯÀÌÀûÀÎ ¼Ò°ßÀ» º¸ÀÌ´Â °æ¿ì´Â ¹Ýµå½Ã Á¤Áß½Å°æ º´ÁõÀÇ
              ¿øÀÎ Áúȯ¿¡ ´ëÇÑ Ãß°¡°Ë»ç°¡ ½ÃÇàµÇ¾î¾ß ÇÑ´Ù.
              º» Áõ·Ê¿¡¼­ Àú¸²ÁõÀº ½ÉÇÏÁö ¾Ê´Âµ¥ °¨°¢ÀÌ µÐÇÏ°í ±Ù·ÂÀÇ ½ÉÇÑ ÀúÇϸ¦ º¸ÀÌ´Â º´·ÂÀº ¼ö±Ù°üÁõÈıºÀÇ
              º´·Â°ú ºÎÇÕÇÏÁö ¾ÊÀ¸¹Ç·Î Á¤Á߽Ű溴Áõ ¿øÀο¡ ´ëÇÑ Ãß°¡ °Ë»ç°¡ ÇÊ¿äÇÑ °æ¿ìÀÌ´Ù.
              º´·Â»ó ½Ã¸®¾Ç½º Áø´Ü¹æ¹ý¿¡¼­ "inherent unlikelihood"·Î ¼ö±Ù°ü ÁõÈıºÀÌ ¾Æ´ÔÀ» ½Ã»çÇϰí ÀÖ´Ù. 

ÀÌÀü±Û À¯¹æ¾Ï ÀüÀÌ¿¡ ÀÇÇÑ »ó¿Ï½Å°æÃÑ ¸¶ºñ(ÃßÁ¤)(brachial plexopathy probably due to breast cancer metastasis)
´ÙÀ½±Û ÃÊÀ½ÆÄ À¯µµÇÏ ¹ß¸ñ°üÀý ÁÖ»ç(sonoguide ankle joint injection)
       
°¡¸ÍÁ¡¸í : ½Ã¸®¾Ç½ºÁ¤ÇüÀÇÇבּ¸È¸
»ç¾÷ÀÚµî·Ï¹øÈ£ : 894-81-00627 | ´ëÇ¥ÀÚ : ÀåµÎÇõ
 
ÁÖ¼Ò : °æ±âµµ ¾çÆò±º ¿ë¹®¸é ¿ë¹®·Î 375-1, 2Ãþ 1È£
TEL : 010-2323-4055
E-mail : cyriax12@naver.com
ÀԱݾȳ»
±¹¹ÎÀºÇà | ½Ã¸®¾Ç½ºÁ¤ÇüÀÇÇבּ¸È¸(ÁÖ)
220401-04-194155