ȸ³»±Ù ÁõÈıº(pronator teres syndrome) ÃÊÀ½ÆÄ °Ë»ç
ÀÛ¼ºÀÚ : jaeijk Choi(jic121@hanmail.net) ÀÛ¼ºÀÏ : 2024-05-02 Á¶È¸¼ö : 987
ÆÄÀÏ÷ºÎ : o ring test.avi °íÂû.docx

³ªÀÌ  ¼ºº°  : 42¼¼ /³²ÀÚ

 

ÁÖ  Áõ  »ó  :  ¿ìÃø  ¼Õ°¡¶ô  °¨°¢ µÐÈ­  ¹×  ¼Õ°¡¶ô ¿òÁ÷ÀÓÀÌ ¾îµÐÇÏ´Ù  (3ÁÖ)


º´      ·Â  :  6°³¿ù Àü ÁÂÃø ÆÈ²ÞÄ¡ ¼ö¼ú ÈÄ °­Á÷ÀÌ ½ÉÇÏ¿© È¥ÀÚ¼­ °üÀý ¿îµ¿À» ¿­½ÉÈ÷ ÇÏ¿´´Âµ¥

               ¾à 3ÁÖÀü ºÎÅÍ  ¼Õ°¡¶ôÀÌ °¨°¢ÀÌ ÀúÇÏµÇ°í  Á£°¡¶ôÁúÀ̳ª ±Û¾¾ ¾²±â¿¡ ¾î·Á¿òÀÌ ÀÖ¾î

               Å¸º´¿ø °æÀ¯ÇÏ¿© ±ÙÀüµµ°Ë»ç ÀÇ·ÚµÊ.

               Àú¸²ÁõÀº ½ÉÇÏÁö ¾ÊÀ½. 


ÀÌÇÐÀû °Ë»ç : ¿ìÃø ¾öÁö ´Ü¹«Áö¿ÜÀü±Ù(APB) ±Ù·ÂÀÌ P µî±ÞÀ¸·Î ÀúÇϵÊ(»çÁø 7, 8, 9)

               ¾öÁö À幫Áö ±¼±Ù°ú Àå¼öÁö±¼±ÙÀÇ ±Ù·ÂÀº F µî±ÞÀ¸·Î ¾àÈ­¸¦ º¸ÀÓ.

               ¼Õ¸ñ ±¼°î°ú ȸ³» ±Ù·ÂÀº G µî±ÞÀ¸·Î °ÇÃø°ú ºñ±³ÇÏ¿© °æ¹ÌÇÑ ¾àÈ­¸¦ º¸ÀÓ.

               O ring °Ë»ç¿¡ ¾ç¼º ¼Ò°ßÀ» º¸ÀÓ(»çÁø 11, ÷ºÎ µ¿¿µ»ó)


±ÙÀüµµ °Ë»ç  :Á¤Á߽Űæ Àüµµ°Ë»ç¿¡¼­ ÆÈ²ÞÄ¡ »ó¹æ¿¡¼­ ÀÚ±Ø ½Ã ¿îµ¿½Å°æ ¹ÝÀÀÀÇ ÁøÆøÀÌ ¸Å¿ì °¨¼ÒµÇ°í(»çÁø 13)

               ÆÈ²ÞÄ¡¸¦ °æÀ¯ÇÏ´Â ±¸°£¿¡¼­ ½Å°æÀüµµ ¼ÓµµÀÇ °¨¼Ò¸¦ º¸ÀÓ(»çÁø 12)

               Ä§±ÙÀüµµ °Ë»ç¿¡¼­ ȸ³»±Ù¿¡¼­´Â Á¤»ó ¼Ò°ßÀ» º¸ÀÌ°í ±× ¸»´ÜÀÇ ±ÙÀ°¿¡¼­ ºñÁ¤»ó ÀÚ¹ßÀüÀ§³ª ¿îµ¿½Å°æ

               ´ÜÀ§ÀÇ °¨¼Ò¸¦ º¸¿© ÀüÇüÀûÀΠȸ³»±Ù ÁõÈıº¿¡ ºÎÇÕÇÏ´Â ¼Ò°ßÀ» º¸ÀÓ.

               ¼Õ¸ñ¿¡¼­ °¨°¢½Å°æÀº Á¤»ó¼Ò°ßÀ» º¸ÀÓ(»çÁø 14)


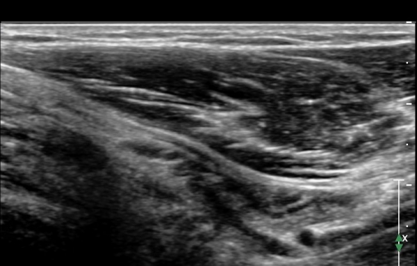
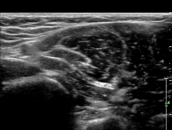
ÃÊÀ½ÆÄ °Ë»ç : ȸ³»±Ù ±ÙÀ§ºÎ¿¡¼­ Á¤Á߽Űæ Ⱦ´Ü¸é°Å»ç¿¡¼­ ƯÀÌ ¼Ò°ßÀ» º¸ÀÌÁö ¾ÊÀ¸³ª(»çÁø 1) ȸ³»±Ù ¿ä°ñµÎ ±â½ÃºÎ

               ¿¡¼­  Á¤Á߽ŰæÀÇ ±¹°íÀû ¾Ð¹Ú ¹× ÆíÆòÈ­°¡ °üÂûµÊ(»çÁø 2). ÀÌ·± º¯È­´Â °ÇÃø(»çÁø 5)°ú ºñ±³Çϸé 

               ¶Ñ·ÇÇÔ.


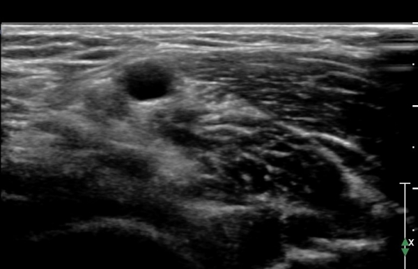
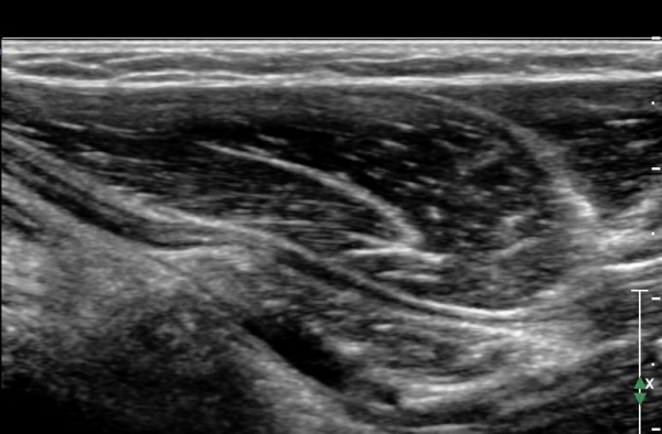
               Á¤Á߽Űæ Á¾´Ü¸é°Ë»ç¿¡¼­ ȸ³»±Ù ¿ä°ñµÎ ±â½ÃºÎ¿¡¼­ Á¤Á߽ŰæÀÇ ±¹¼ÒÀû ¾Ð¹Ú°ú Ç¥ÃþÀ¸·Î ÀüÀ§°¡ 

               °üÂûµÇ°í ¾Ð¹ÚÀÇ ±ÙÀ§ºÎ¿¡¼­´Â Á¤Áß½Å°æ ºÎÁ¾ÀÌ °üÂûµÊ(»çÁö 3). 

               ÀÌ·± º¯È­´Â °ÇÃø(»çÁø 6)°ú ºñ±³ÇÏ¸ç ¶Ñ·ÇÇÔ.


°íÂû ¹× Âü°í ¹®Çå : ÷ºÎ ÆÄÀÏ

 



½Ã¸®¾Ç½º¼¼¹Ì³ª   ÆÈ²ÞÄ¡¿Í ¼Õ¸ñ ÁúȯÀÇ Áø´Ü°ú Ä¡·á(¹Ù·Î°¡±â  Ŭ¸¯)


IARM  Ä«µ¥¹Ù ¿öÅ©»ð   ÃÊÀ½ÆÄ °Ë»ç  ÁÖ»çÄ¡·á



 
 

ÀÌÀü±Û ¼Õ¸ñ °üÀý ½Å°æ ÃÊÀ½ÆÄ°Ë»ç(sonography of articular nerves of wrist
´ÙÀ½±Û ÃÊÀ½ÆÄ
       
°¡¸ÍÁ¡¸í : ½Ã¸®¾Ç½ºÁ¤ÇüÀÇÇבּ¸È¸
»ç¾÷ÀÚµî·Ï¹øÈ£ : 894-81-00627 | ´ëÇ¥ÀÚ : ÀåµÎÇõ
 
ÁÖ¼Ò : °æ±âµµ ¾çÆò±º ¿ë¹®¸é ¿ë¹®·Î 375-1, 2Ãþ 1È£
TEL : 010-2323-4055
E-mail : cyriax12@naver.com
ÀԱݾȳ»
±¹¹ÎÀºÇà | ½Ã¸®¾Ç½ºÁ¤ÇüÀÇÇבּ¸È¸(ÁÖ)
220401-04-194155