ºñº¹½Å°æ ½Å°æÁ¾, ÃßÁ¤,°ú º´¹ßµÈ ´Üºñ°ñ°Ç ³¶Á¾¼º °ÇÃÊ¿°(neuroma of sural nerve with cystic tendinopathy of peoneus brevis
ÀÛ¼ºÀÚ : jaeijk Choi(jic121@hanmail.net) ÀÛ¼ºÀÏ : 2025-06-03 Á¶È¸¼ö : 252
ÆÄÀÏ÷ºÎ : 1.mp4 2.mp4

³ªÀÌ   ¼ºº°  : 67¼¼ /³²ÀÚ

 

ÁÖ    Áõ   »ó  :  ÁÂÃø ¹ß ¿ÜÃøºÎ ÅëÁõ( 1´Þ)


º´         ·Â  :  ¾à 6°³¿ù Àú´©ÅÍ °£ÇæÀûÀ¸·Î ÁÂÃø ¹ß ¿ÜÃøºÎ Àú¸²ÁõÀÌ ÀÖ¾ú´Âµ¥ ¾à ÇÑ´Þ ÀüºÎÅÍ ÅëÁõÀÌ ¹ß»ý.

                     ÅëÁõÀº °È°Å³ª  ÈÞ½ÄÀ̳ª °í³ª·Ã ¾øÀÌ °£ÇæÀûÀ¸·Î ¹ß»ý.

  

ÀÌÇÐÀû °Ë»ç :   

           ¹ß¸ñ°ú ¹ß°¡¶ô ¿îµ¿¿¡¼­ ±Ù¾àÁõÀº º¸ÀÌÁö ¾ÊÀ½.

           ¹ß¸ñ ¿ÜÃø ¾Æ·¡ ¾ÐÅëÀ» º¸ÀÓ.


±ÙÀüµµ°Ë»ç :  ƯÀÌ ¼Ò°ß ¾øÀ½.


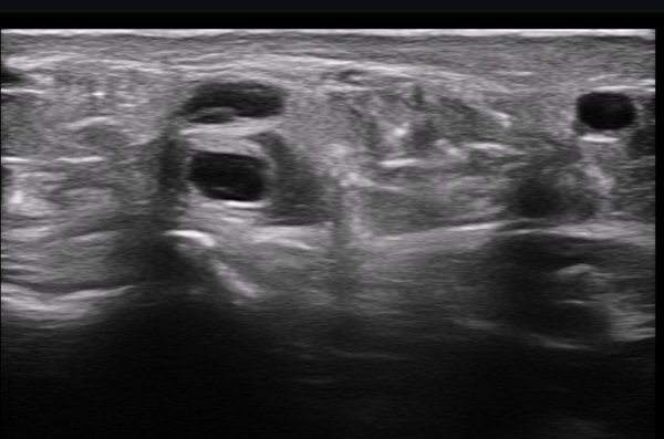
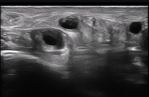
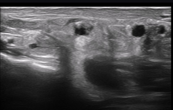
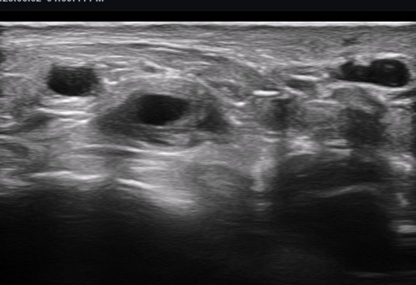
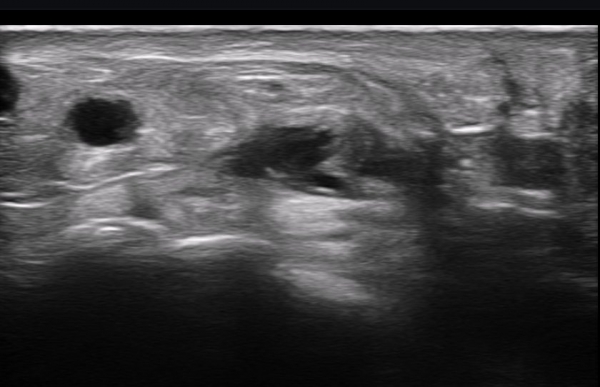
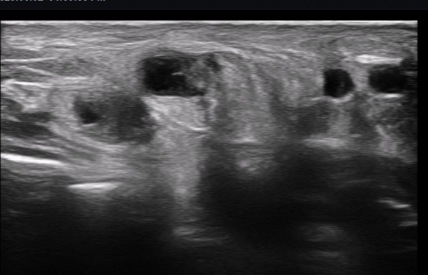
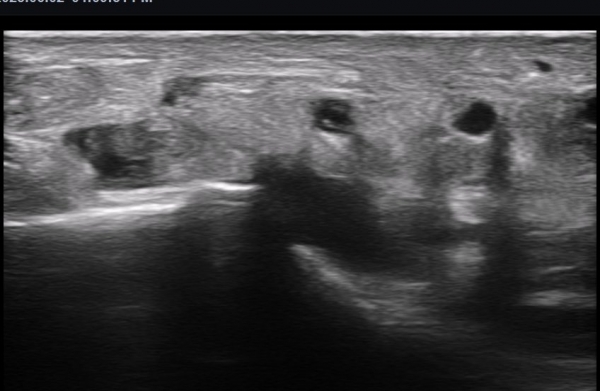
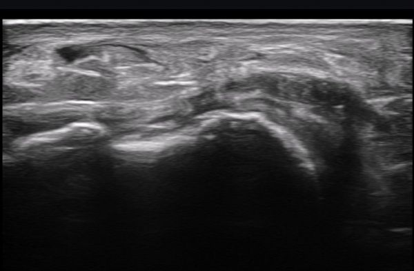
ÃÊÀ½ÆÄ ¼Ò°ß : ºñº¹½Å°æ Ⱦ´Ü¸é°Ë»ç¿¡¼­(»çÁø 1~13) ºñº¹½Å°æÀÇ Àú¿¡ÄÚ ºÎÁ¾°ú ´Üºñ°ñ°Ç³» ³¶Á¾¼º º´º¯ÀÌ °üÂûµÈ´Ù.

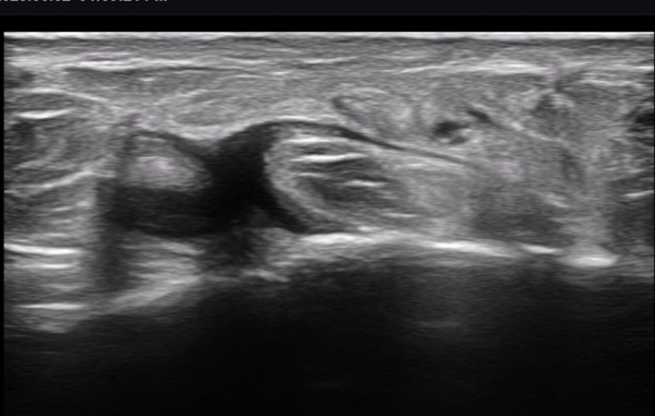
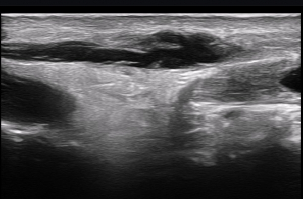
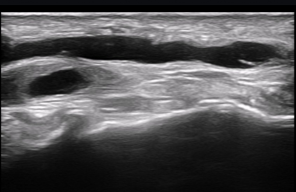
              ºñº¹½Å°æ Á¾´Ü¸é°Ë»ç(»çÁø 14, 15)¿¡¼­ ºñº¹½Å°æÀÇ Àü¹ÝÀûÀÎ Àú¿¡ÄÚ ºÎÁ¾°ú ºñº¹½Å°æ ½ÉÃþÀ¸·Î ´Üºñ°ñ°Ç³»

                ³¶Á¾¼º º¯º¯ÀÌ °üÂûµÈ´Ù.                

ÀÌÀü±Û ºñƯ¡ÀûÀÎ Áõ»óÀ» º¸ÀÌ´Â ¼ö±Ù°ü ÁõÈıº ÃÊÀ½ÆÄ ¼Ò°ß
´ÙÀ½±Û ¼Õ¸ñ °üÀý ½Å°æ ÃÊÀ½ÆÄ°Ë»ç(sonography of articular nerves of wrist
       
°¡¸ÍÁ¡¸í : ½Ã¸®¾Ç½ºÁ¤ÇüÀÇÇבּ¸È¸
»ç¾÷ÀÚµî·Ï¹øÈ£ : 894-81-00627 | ´ëÇ¥ÀÚ : ÀåµÎÇõ
 
ÁÖ¼Ò : °æ±âµµ ¾çÆò±º ¿ë¹®¸é ¿ë¹®·Î 375-1, 2Ãþ 1È£
TEL : 010-2323-4055
E-mail : cyriax12@naver.com
ÀԱݾȳ»
±¹¹ÎÀºÇà | ½Ã¸®¾Ç½ºÁ¤ÇüÀÇÇבּ¸È¸(ÁÖ)
220401-04-194155