[½Å°æ] ±ÙÀ°ÇǺνŰæÀÇ ¿°Àü(torsion of musculocutaneous nerve)
ÀÛ¼ºÀÚ : jaeijk Choi(jic121@hanmail.net) ÀÛ¼ºÀÏ : 2025-07-28 Á¶È¸¼ö : 412
ÆÄÀÏ÷ºÎ : 20250708_161308_202507090005.mp4 20250708_162024 s lt.jpg 20250708_163327 s Ç¥½Ã.jpg 20250708_161938s m atrophy.jpg

³ªÀÌ  ¼ºº°  : 58¼¼ /³²ÀÚ

 

ÁÖ  Áõ  »ó  :  ¿ìÃø »ó¹Ú ±ÙÀ§Ãø, ±Ù¾àÁõ  (6°³¿ù)

                ÷ºÎ ÆÄÀÏ 2, °ÇÃà°ú ºñ±³ÇÏ¸é ¶Ñ·ÇÇÏ´Ù(÷ºÎÆÄÀÏ 4) 

               

  

               

º´      ·Â  :  ¾à 6°³¿ù Àü ÀÌÀ¯ ¾øÀÌ ¿ìÃø »ó¹ÚºÎ ÅëÁõ ¹ß»ýÇÑ ÈÄ ´ëÈä±Ù ºÎÀ§¿¡µµ ÅëÁõÀÌ ¹ß»ýÇÏ¿©

                ÇÑÀÇ¿ø¿¡¼­ Ä¡·á ¹Þ¾ÒÀ¸³ª Á¡Â÷ÀûÀ¸·Î »ó¹ÚºÎ ±ÙÀ§ÃøÀÌ ¹ß»ýÇÏ°í µå´Â ÈûÀÌ ¾àÇØÁü

                ¸ñ ¾È¾ÆÇÁ´Ù.  ÆÈÀú¸²(-)

                ¼Õ°¡¶ôÀú¸²(-


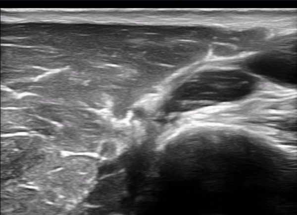
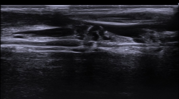
ÃÊÀ½ÆÄ ¼Ò°ß  : »ó¹Ú ³»Ãø ±ÙÀ°ÇǺνŰæ Ⱦ´Ü¸é°Ë»ç ¿¡¼­ ±ÙÀ°ÇǺνŰæÀÇ Àú¿¡ÄÚ ºÎÁ¾ÀÌ °üÂûµÈ´Ù(»çÁø 1).

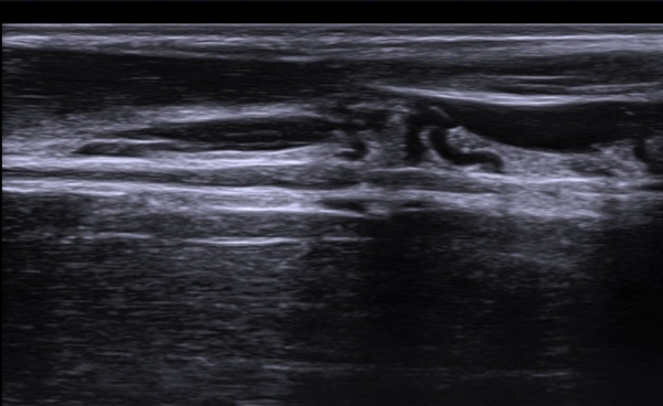
               Å½ÃËÀÚ¸¦ Á¶±Ý ¸»´ÜÀ¸·Î À̵¿ÇÏ´Ï ±ÙÀ°ÇǺνŰæÀÇ À§ÃàÀÌ °üÂûµÇ°í(»çÁø 2) ŽÃËÀÚ¸¦ Á¶±Ý ´õ

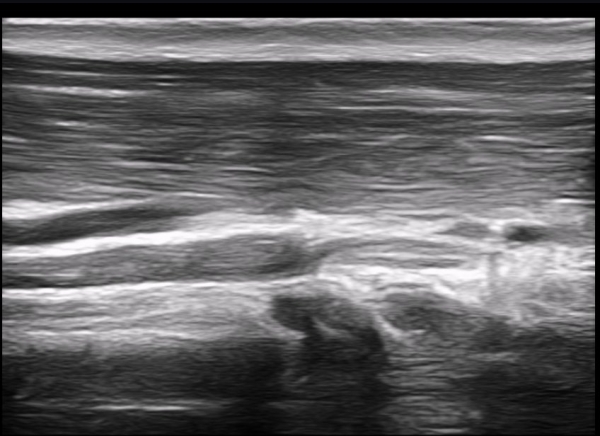
               ¸»´ÜÀ¸·Î À̵¿ÇÏ´Ï ±ÙÀ°ÇǺνŰæÀÌ Á¤»êÀûÀ¸·Î °üÂûµÈ´Ù(»çÁø 3).

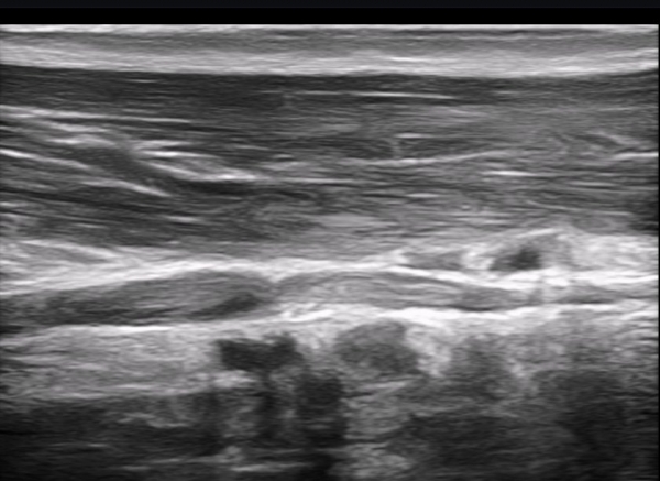
               Ã·ºÎ µ¿¿µ»ó¿¡¼­ ±ÙÀ°ÇǺνŰæÀÇ À§¿Í °°Àº º¯È­¸¦ Àß º¸¿©ÁØ´Ù(Ŭ¸¯).

 

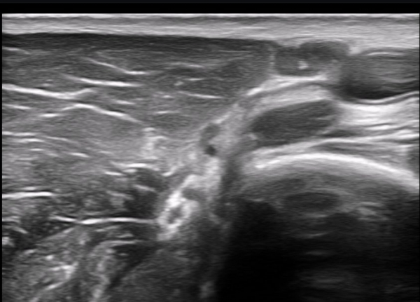
               ±ÙÀ°ÇǺνŰæÀÇ Á¾´Ü¸é°Ë»ç¿¡¼­ ±ÙÀ°ÇǺνŰæÀÇ ±¹¼ÒÀû ÇùÂø°ú ±ÙÀ§ºÎÀÇ Àú¿¡ÄÚ ºÎÁ¾ÀÌ °üÂûµÈ´Ù

               (»çÁø 4, 5, 6,7) À̰ÍÀº ½Å°æÀÇ ¿°Àü(torsion)¿¡ ºÎÇÕÇÏ´Â ¼Ò°ßÀÌ´Ù.

               ½Å°æ º´º¯ÀÇ ÇǺο¡ Ç¥½Ã ÷ºÎÆÄÀÏ 5

                

  

ÀÚ±â°ø¸í°Ë»ç :  ÁøÇàÁß

               

¼ö¼ú ¼Ò°ß  :  ¾Æ¸¶µµ ½ÃÇà ÇÒ µí

ÀÌÀü±Û
´ÙÀ½±Û ÀÓÆÄ¾Ï ÀüÀÌ¿¡ ÀÇÇÑ Á¤Á߽Űæ°ú »óȯ½Å°æÃÑ Á¾¾ç ¿¡ ÀÇÇÑ Á¤Áß ½Å°æ, ô°ñ½Å°æ ¸¶ºñ
       
°¡¸ÍÁ¡¸í : ½Ã¸®¾Ç½ºÁ¤ÇüÀÇÇבּ¸È¸
»ç¾÷ÀÚµî·Ï¹øÈ£ : 894-81-00627 | ´ëÇ¥ÀÚ : ÀåµÎÇõ
 
ÁÖ¼Ò : °æ±âµµ ¾çÆò±º ¿ë¹®¸é ¿ë¹®·Î 375-1, 2Ãþ 1È£
TEL : 010-2323-4055
E-mail : cyriax12@naver.com
ÀԱݾȳ»
±¹¹ÎÀºÇà | ½Ã¸®¾Ç½ºÁ¤ÇüÀÇÇבּ¸È¸(ÁÖ)
220401-04-194155